Các bác sĩ đã báo cáo một trường hợp bệnh nhân bất thường. Một bé gái người da đen, 11 tuổi 8 tháng (vào thời điểm thăm khám) ở Brazil đã được đưa đến cơ sở nha khoa để thăm khám với yêu cầu ban đầu là nhổ bỏ chân răng còn sót lại của các răng cửa sữa hàm trên.
Tuy nhiên, những phát hiện trong quá trình kiểm tra lâm sàng và chẩn đoán hình ảnh đã khiến các bác sĩ hết sức bất ngờ.
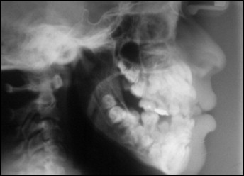
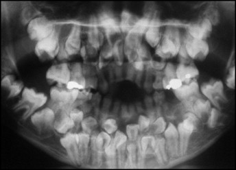
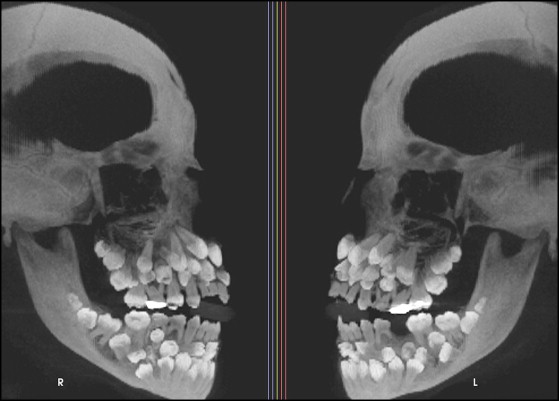
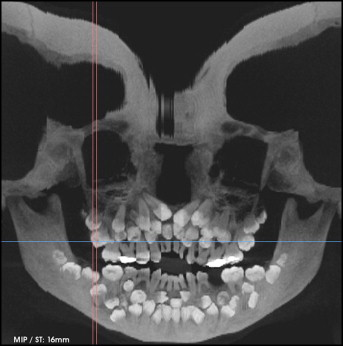
Qua khám trong miệng, các bác sĩ ghi nhận chỉ có 5 răng vĩnh viễn đã mọc. Trong khi đó, các răng sữa vẫn còn tồn tại khá nhiều. Nhằm đánh giá toàn diện hơn tình trạng răng miệng của bệnh nhi, các bác sĩ đã chỉ định chụp phim toàn cảnh và phim sọ nghiêng. Kết quả phim cho thấy một bất thường nghiêm trọng: sự hiện diện của rất nhiều răng thừa.

Hình chụp X-quang của bệnh nhi



Cụ thể, kết quả chụp đã cho thấy bệnh nhân có tổng cộng 81 chiếc răng, bao gồm: 18 răng sữa, 32 răng vĩnh viễn và 31 răng thừa. Các hình ảnh cũng cho thấy nhiều răng có hình thể bất thường khiến việc phân biệt giữa răng thường và răng thừa trở nên vô cùng khó khăn.
Theo các bác sĩ, răng thừa (supernumerary teeth) là một dị tật phát triển hiếm gặp, có thể xuất hiện ở bất kỳ vị trí nào trên cung hàm và ảnh hưởng đến răng bình thường khác. Trường hợp có nhiều răng thừa, hay còn gọi là đa răng thừa rất hiếm gặp ở những người không mắc kèm các bệnh lý hay hội chứng di truyền khác. Một số bệnh lý thường liên quan đến tình trạng này bao gồm: sứt môi hở hàm ếch, hội chứng trichorhinophalangeal, loạn sản xương đòn sọ (cleidocranial dysplasia) và hội chứng Gardner.
Điều trị chỉnh nha cho trường hợp bé gái này là một thách thức lâm sàng lớn, do số lượng răng cần nhổ quá nhiều cũng như những biến dạng về hình thể răng. Để điều trị hiệu quả, cần xây dựng mục tiêu điều trị dựa trên đánh giá tổng thể của một nhóm chuyên môn đa ngành.
Nguồn: Ajo-do








