Dù là một trong những hội chứng di truyền hiếm gặp nhất, nhưng Prader-Willi lại khiến các nhà khoa học và bác sĩ phải đặc biệt chú ý bởi một đặc điểm bất thường: nó tạo ra một cơn đói không thể kiểm soát ở bệnh nhân.
Được phát hiện lần đầu tiên vào năm 1956, căn bệnh này có ảnh hưởng đa hệ thống và tạo ra những hệ quả nghiêm trọng, đặc biệt là trong quá trình phát triển thể chất và tinh thần của trẻ nhỏ.
Theo ước tính, hội chứng Prader-Willi (Prader-Willi Syndrome – PWS) ảnh hưởng đến khoảng từ 1 trong 30.000 đến 1 trong 10.000 người trên toàn thế giới. Tại Hoa Kỳ, số ca mắc được ghi nhận dao động trong khoảng 10.000 đến 20.000 người.
Hội chứng không phân biệt giới tính hay chủng tộc, và đa phần các trường hợp đều xuất hiện ngẫu nhiên, không mang yếu tố di truyền qua nhiều thế hệ. Chỉ trong những tình huống cực kỳ hiếm hoi, bệnh mới được truyền lại từ cha mẹ.

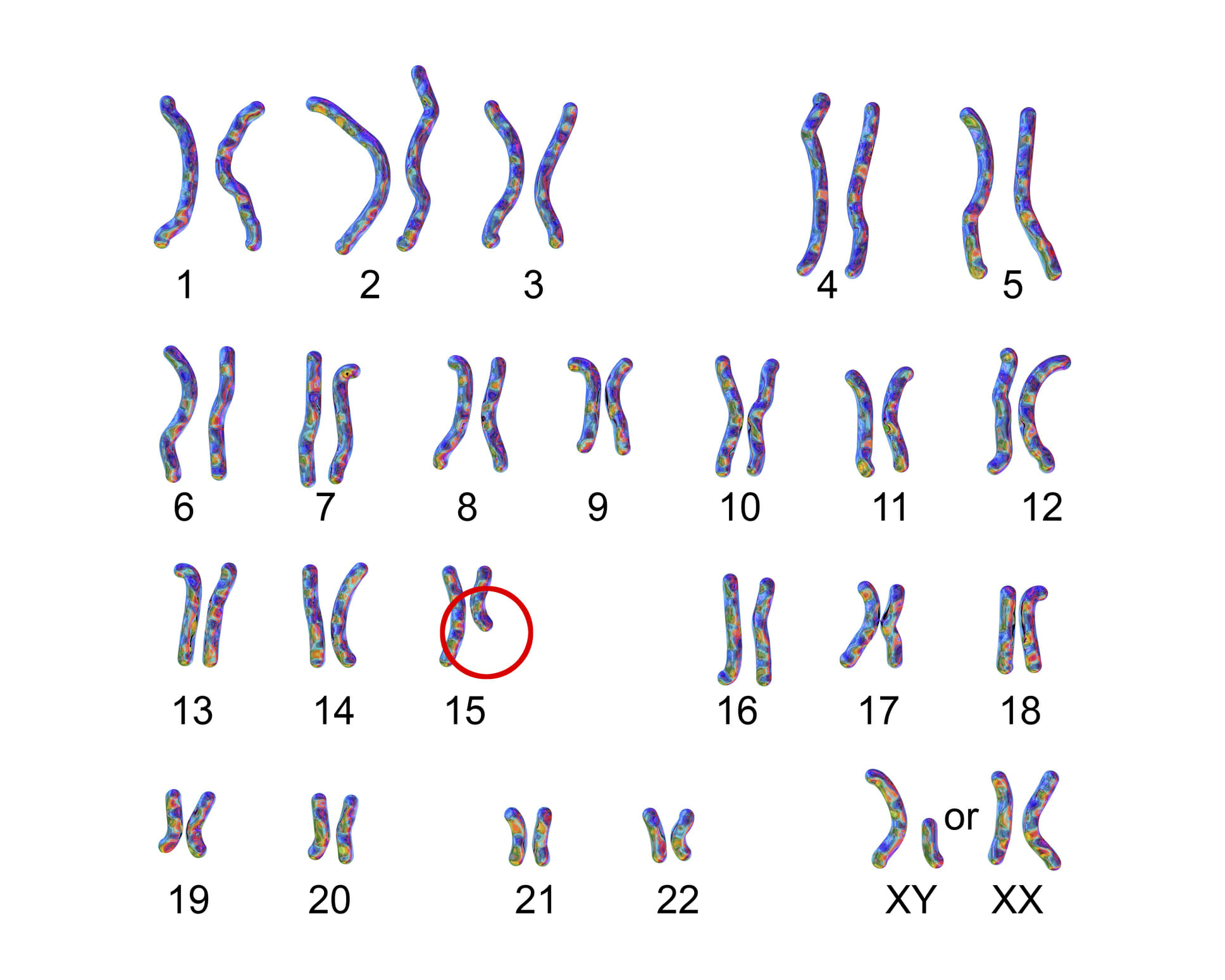
Căn nguyên của hội chứng Prader-Willi nằm ở một phần nhỏ nhưng cực kỳ quan trọng của nhiễm sắc thể số 15, cụ thể là đoạn 15q11.2-q13, thường được gọi là vùng PWS/AS (Prader-Willi/Angelman).
Bình thường, con người mang 46 nhiễm sắc thể, trong đó 22 cặp là nhiễm sắc thể thường và một cặp là nhiễm sắc thể giới tính, với mỗi cặp bao gồm một bản sao từ mẹ và một từ cha. Tuy nhiên, không phải tất cả các gen trong mỗi bản sao đều được “bật”, mà thông qua một cơ chế gọi là “in dấu di truyền”, cơ thể sẽ tắt một số gen nhất định, tùy theo việc chúng đến từ bố hay mẹ.
Ở những người mắc hội chứng Prader-Willi, bản sao nhiễm sắc thể số 15 đến từ cha không hoạt động đúng cách, nguyên nhân có thể là do đoạn PWS/AS bị mất đi (chiếm khoảng 60-70% trường hợp), hoặc do người bệnh chỉ nhận được hai bản sao từ mẹ (trường hợp được gọi là đơn bội mẹ). Ngoài ra, còn có những nguyên nhân hiếm gặp hơn như đột biến gen vi mô, thay đổi biểu sinh hay chuyển đoạn nhiễm sắc thể.
Ngay từ khi còn là thai nhi, hội chứng đã để lại những dấu hiệu khác thường. Thai nhi có thể vận động ít hơn mức bình thường hoặc nằm ở tư thế bất thường trong bụng mẹ. Sau khi sinh, trẻ sơ sinh mắc hội chứng thường có trương lực cơ rất thấp, khiến trẻ khó bú, tăng cân kém và chậm phát triển. Một số đặc điểm dễ nhận thấy ở trẻ bao gồm mắt hình quả hạnh, môi trên mỏng, miệng hơi trề và đầu dài, hẹp.
Tình trạng thiếu hụt hormone tăng trưởng còn khiến nhiều trẻ có vóc dáng thấp hơn bình thường, cùng với màu da và tóc sáng bất thường nếu mất thêm gen OCA2 – vốn liên quan đến sản xuất sắc tố.
Tuy nhiên, điều khiến Prader-Willi trở thành hội chứng “kỳ lạ” nhất lại đến ở giai đoạn sau, thường từ 2 đến 8 tuổi. Ở độ tuổi này, trẻ bắt đầu xuất hiện cảm giác đói liên tục, gần như không thể kiềm chế, và luôn cảm thấy chưa no dù vừa ăn xong.
Điều này dẫn đến hành vi ăn uống vô độ, làm tăng nguy cơ béo phì nghiêm trọng và các hệ lụy liên quan như tiểu đường loại 2, bệnh tim mạch, hoặc các vấn đề tiêu hóa.

Các nhà khoa học cho rằng nguyên nhân chính của triệu chứng này nằm ở vùng dưới đồi của não, nơi điều khiển nhiều chức năng sống thiết yếu như cảm giác đói, nhiệt độ và giấc ngủ. Sự rối loạn chức năng tại đây khiến các tín hiệu kiểm soát cơn đói bị sai lệch.
Đồng thời, những bất thường trong cơ chế xử lý phần thưởng, như cảm giác hài lòng sau khi ăn khiến bệnh nhân không bao giờ cảm thấy “đủ”.
Không chỉ dừng lại ở vấn đề ăn uống, hội chứng Prader-Willi còn tác động mạnh đến nhiều khía cạnh khác. Trẻ mắc hội chứng thường gặp các vấn đề nhận thức, với mức độ từ nhẹ đến trung bình, cùng với chậm phát triển ngôn ngữ, kỹ năng vận động và khả năng tự lập. Tình trạng kém phát triển bộ phận sinh dục, rối loạn giấc ngủ, suy giáp và cận thị cũng là những triệu chứng phổ biến.
Mặc dù hội chứng Prader-Willi chưa có cách chữa khỏi, nhưng một số phương pháp điều trị hiện đại đã cho thấy hiệu quả trong việc cải thiện chất lượng sống của bệnh nhân. Ở giai đoạn sơ sinh, các chuyên gia có thể khuyến nghị dùng sữa công thức giàu năng lượng hoặc phương pháp cho ăn bằng ống để đảm bảo dinh dưỡng.
Liệu pháp hormone tăng trưởng, được Cục Quản lý Thực phẩm và Dược phẩm Hoa Kỳ (FDA) phê duyệt từ năm 2000, đã chứng minh khả năng tăng cường trương lực cơ, thúc đẩy phát triển chiều cao và giảm mỡ cơ thể.
Ngoài ra, các liệu pháp vật lý, hành vi, ngôn ngữ và nghề nghiệp được áp dụng nhằm hỗ trợ trẻ cải thiện kỹ năng sống và phát triển toàn diện hơn. Các loại thuốc điều chỉnh giấc ngủ, giảm rối loạn tâm thần cũng có thể được kê đơn khi cần thiết.

Một bước ngoặt quan trọng trong điều trị hội chứng Prader-Willi đã diễn ra vào dịp gần đây, khi FDA chấp thuận loại thuốc đầu tiên nhắm vào triệu chứng ăn quá mức ở bệnh nhân từ 4 tuổi trở lên.
Dù cơ chế hoạt động của thuốc vẫn đang được nghiên cứu, các chuyên gia tin rằng nó có khả năng điều chỉnh tín hiệu đói từ vùng dưới đồi, giúp người bệnh giảm bớt cảm giác thèm ăn không kiểm soát.
Tuy nhiên, điều quan trọng nhất trong quản lý hội chứng này vẫn là sự giám sát chặt chẽ về chế độ ăn uống. Trẻ cần được duy trì một lịch trình ăn uống cố định, kiểm soát chặt chẽ lượng calo và chất dinh dưỡng. Các chuyên gia dinh dưỡng đóng vai trò trung tâm trong việc xây dựng thực đơn hợp lý, đảm bảo cân bằng dinh dưỡng và hỗ trợ gia đình trong suốt quá trình chăm sóc.
Tuổi thọ trung bình của người mắc hội chứng Prader-Willi có thể lên đến 70 tuổi nếu được điều trị và kiểm soát tốt. Ngược lại, các biến chứng như tiểu đường, suy tim có thể rút ngắn đáng kể tuổi thọ, thậm chí gây tử vong sớm từ độ tuổi 40 nếu không được theo dõi và can thiệp y tế kịp thời.








